Koronavirüs akciğerleri bu hale sokuyor

Tüm dünyayı etkisi altına alan ve milyonlarca insanı öldüren koronavirüs, röntgen görüntüleriyle akciğerleri ne hale soktuğu ortaya çıktı.

Koronavirüs akciğerleri bu hale sokuyor

Ankara Şehir Hastanesinde koronavirüs tedavisi gören hastalara ait akciğer görüntülerine ulaştı. Görüntülerde, hastalığın ne kadar hızlı ilerlediği ve akciğerleri nasıl tuttuğu ortaya çıktı.

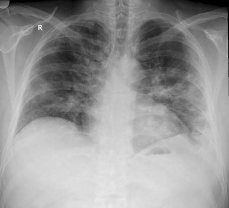
Haber Detay Görseli

Ankara Şehir Hastanesi Göğüs Hastalıkları Kliniği İdari ve Eğitim Sorumlusu Prof. Dr. Ayşegül Karalezli yaptığı açıklamada, salgının devam ettiğini belirterek, "Etrafımızda bize yakın insanların kovid pozitif ve akciğer tutulumu ile geldiğini görüyoruz." ifadesini kullandı.

Koronavirüs testi pozitif çıkan birçok kişinin, akciğer tutulumuyla başvurduğunu anlatan Karalezli, şunları söyledi: "İnsanların çok dikkatli olması gerekiyor. Korunmaya çok dikkat edilmeli. 'Maske, mesafe ve hijyen' diyoruz ama insanlar görüyoruz ki bunun çok farkında değiller. Önemsemiyorlar ama biz çok önemsiyoruz."Prof. Dr. Karalezli, koronavirüsün akciğerleri etkilediği durumda, nefes almanın çok zor olduğunun altını çizerek, halen hastaneye başvuranların da son derece ciddi akciğer tutulumlarının olduğuna vurgu yaptı.

Normalde insanların oksijen seviyelerinin yüzde 98 olduğunu ifade eden Karalezli, koronavirüse yakalananlarda oksijen seviyenin yüzde 70'lere kadar düştüğünü belirtti.

Bu durumdaki hastaların oksijen seviyelerini değişik makinalar ve yüksek akım oksijen cihazlarıyla düzeltmeye çalıştıklarını anlatan Karalezli, diğer zatürre durumlarında bu kadar ciddi oksijen düşüklüğü görülmediğine işaret etti.

Prof. Dr. Karalezli, koronavirüsün çok farklı bilinmeyen yönü olduğuna dikkati çekerek, şu uyarıları yaptı:"İnsanların çok dikkat etmesini istiyoruz. Akciğere girdi mi bunun çıkışı kolay olmuyor. Altta yatan hastalığı varsa biraz ileri yaştaysa çok riskli. Şu an bizim takip ettiğimiz hasta yaş aralığı 40-60 yaş arası. Gençlerde hastalığın seyri çok hızlı gidiyor. Koronavirüs tüm organları tutabiliyor. Akciğer tutulumu varsa tablo kaçınılmaz olarak ilerliyor. İnsanların son derece duyarlı olmasını istiyoruz. Bizler çok yorulduk."

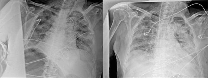
Haber Detay Görseli

Prof. Dr. Karalezli, koronavirüs tedavisi gören hastalara ait akciğer görüntülerinden hastalığın yol açtığı tahribatı ve hastalar üzerindeki etkileri anlattı.

Tedavisine rağmen nefes darlığı şikayetleri devam eden bir hastaya uygulanan akciğer görüntülemesinde hastanın her iki akciğerinin büyük bir bölümünü enfeksiyon kapladığını tespit ettiklerini ifade eden Karalezli, "Bu hastalığın sonunun ne olduğunu bilmiyoruz. Akciğer tutulumları, bu şekilde olduğu zaman hastaları oksijen tedavisi ile gönderiyoruz."